
Fases de un Diseño de Sonrisa 👄
Que esperar paso a paso
4/18/20262 min leer
Cuando un paciente decide mejorar su sonrisa, una de las primeras interrogantes es: “¿por dónde empezamos?” Y es que es un proceso planificado, personalizado y cuidadosamente ejecutado para lograr un resultado natural, armónico y duradero. Puede variar en función del número de dientes a tratar, si se van a tratar ambas arcadas, si es necesario procedimientos adicionales como tratamiento de las encías o endodoncias por ejemplo.
Aquí te explicamos cada fase:
Estudio y Diagnóstico Inicial
Consiste en la planificación integral del caso. Incluye:
Fotografías faciales y dentales
Escaneado digital tus dientes
Análisis de la armonía facial, sonrisa, encías y oclusión
Diseño digital de la sonrisa 🖥️ según los requerimientos del caso y las expectativas del paciente. Aquí se definen forma, proporciones y simetría de la sonrisa.
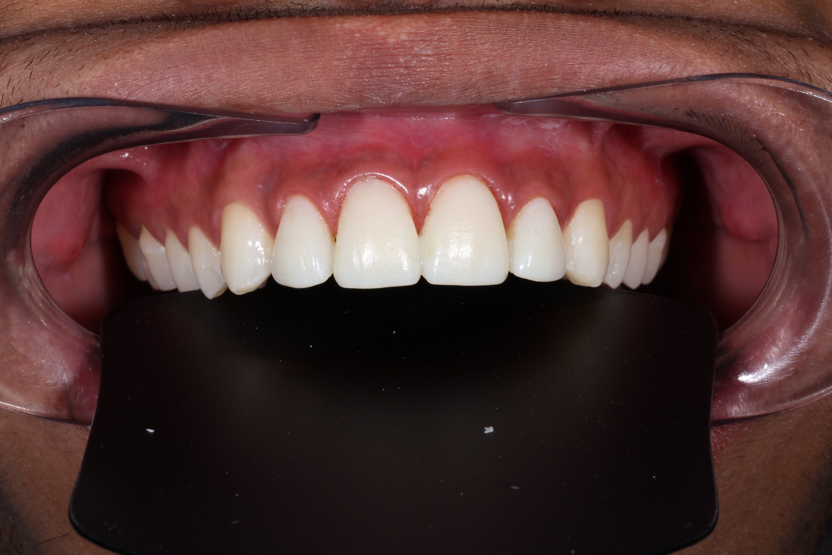
Mock-up o Prueba de Maqueta
Uno de los momentos clave donde probamos la maqueta en tu boca. Es decir, realizamos una simulación sin haber tocado tus dientes para que puedas:
Ver cómo quedará tu sonrisa
Dar tu opinión antes de empezar
Hacer las modificaciones del diseño según tu gusto
👉🏼 Aquí no hay sorpresas. Todo se decide contigo.
Preparación Dental
👉🏼 El objetivo es preservar al máximo tu estructura dental y estará previsto en la planificación. En esta fase corresponde:
Preparación dental mínimamente invasiva
Escaneado intraoral
Carillas provisionales
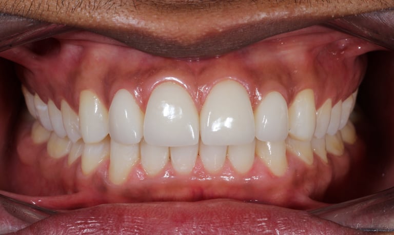
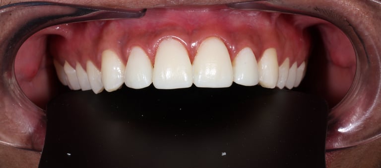
En esta cita se cementan las reconstrucciones cerámicas a modo definitivo y es aquí es donde el diseño se convierte en realidad.💫
Cementación
El tratamiento no termina el día que sales con tu nueva sonrisa, Por lo que es necesario realizar controles para:
Ajustes finos
Seguimiento de encías y mordida
Mantenimiento a largo plazo
Un diseño de sonrisa es un proceso estructurado donde cada fase tiene un propósito. No se trata solo de estética, sino de lograr una sonrisa que:
Se vea natural
Funcione correctamente
Y te haga sentir seguro al sonreír
💬 ¿Estás pensando en mejorar tu sonrisa? Cada caso es único. Una valoración personalizada es el primer paso para saber qué tratamiento es ideal para ti.
📲 Agenda una visita para valorar tu caso💫

