Periodontitis y Enfermedad de Alzheimer
3/9/20252 min leer


La enfermedad de Alzheimer es una enfermedad neurodegenerativa que provoca la pérdida progresiva de la memoria y la función cerebral. Aunque su causa aún no está clara, estudios recientes sugieren que puede estar relacionada con la enfermedad periodontal y que las bacterias asociadas a la periodontitis, especialmente la Porphyromonas gingivalis, podría tener un papel importante en su desarrollo.
El vínculo entre la periodontitis y la enfermedad de Alzheimer podría también estar relacionado de modo que moléculas bacterianas llegan al cerebro, aumentando la inflamación y alterando el equilibrio del hierro, lo que provocaría la muerte de las células nerviosas.
La periodontitis es una infección crónica causada por bacterias y que si no se trata, desencadena una respuesta inflamatoria en el cuerpo. La Porphyromona gingivalis se destaca por su capacidad de evadir el sistema inmunológico y promover la inflamación que no solo afecta las encías y hueso alveolar, sino que también puede extenderse a otras partes del cuerpo, incluido el cerebro, contribuyendo a la patogenia de enfermedades como el Alzheimer. Los estudios sugieren que en lugar de invadir directamente el cerebro, liberan moléculas dañinas que viajan hasta él a través de la sangre.
Cada día, millones de personas descuidan su salud oral sin saber que están aumentando silenciosamente el riesgo de enfermedades graves como el Alzheimer. Probablemente pienses que cepillarte los dientes es solo para evitar caries y mantener una sonrisa bonita; pero ¿Y si te dijéramos que podría ser la clave para proteger tu memoria en el futuro? Es importante saber que mantener una higiene bucal adecuada puede tener un impacto significativo en tu salud integral.
¿Como puedes prevenirlo? La buena noticia es que es simple y aquí es donde entra el Odontólogo👩🏻⚕️. Consiste en realizar limpiezas profesionales, cuidar de tu higiene bucal diaria, reducir el consumo de tabaco y acudir a revisiones periódicas.
Esperamos que este blog haya sido útil para aumentar la conciencia sobre la conexión entre la salud bucal y la enfermedad de Alzheimer. No esperes que sea demasiado tarde, protege tu sonrisa y tu memoria. ¡Tu futuro esta en tus manos y comienza por tu boca!
¡Cuidar de tu salud bucal es cuidar de tu salud!
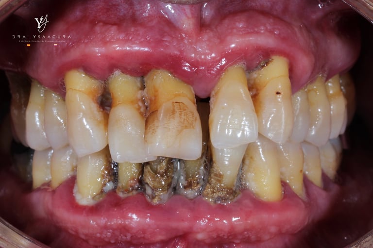
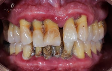
Caso clínico de Periodontitis avanzada
Referencia bibliográfica: https://doi.org/10.1080/1040841X.2022.2163613

